Dream Smile Competition

Of all the special projects we undertake, our Dream Smile Makeover Competition is the one closest to our hearts. This is because it allows us to use our passion for dentistry to truly change someone’s life, completely free of charge.

If you or someone you know has faced years of dental challenges, or if life’s circumstances have made dental care out of reach, this could be the perfect opportunity for a fresh start and a brand-new reason to smile.

Dream Smile Winner Matt Coates
Pure Dental Dream Smile Competition Thumb
Watch video

Win A Dream Smile Makeover For Someone You Love

We believe everyone deserves to smile with confidence, and through our Dream Smile competition, we can make that dream a reality for three lucky winners. We ran the Dream Smile competition in 2019 and 2020 with tremendous success, and we’re thrilled to announce it’s back for 2025.

Do you know someone who truly deserves a life-changing smile?

The 2025 Dream Smile Makeover Competition is now open, and we’re looking for three special individuals whose lives could be transformed by the power of a new smile.

Simply nominate a friend or family member today and tell us why they should be chosen for this incredible opportunity.

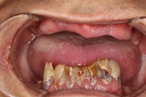
Pure Dental Implants Xrays

How The Dream Smile Competition Works

Taking part in the Dream Smile Makeover Competition is simple.

All you need to do is:

  • Fill in our short nomination form with your name and email address, along with the details of the person you’re nominating
  • Tell us a little about why they deserve this opportunity
  • Upload a few photos of their teeth to help our team understand their needs

And that’s it!

Every nomination is considered, and we can’t wait to meet this year’s finalists whose stories truly inspire us. Our team will shortlist six finalists, and then the public will have the exciting job of voting for the ultimate Dream Smile winners!

Shortlisted nominees will be invited for a friendly consultation at our practice in Truro, where we’ll discuss their dental needs and explore the possibilities together. It’s a straightforward, supportive process from start to finish, and we’re here to make it as comfortable and positive as possible.

Competition dates

  • Entries Open: 1st November 2025
  • Entries Close: 23rd November 2025
  • Winners Announced: 22nd December 2025
  • Treatment Begins: January 2026

Enter The Dream Smile Competition

Ready to make someone’s dream smile a reality? Enter today and help us give the gift of confidence to someone truly deserving.

Click or drag files to this area to upload. You can upload up to 3 files.

Previous Dream Smile Winners

Competition terms & conditions


Pure Dental Health, Truro, is offering three lucky winners the opportunity to achieve the smile they’ve always dreamed of, completely transformed by our award-winning dental team.
Do you know someone who deserves a life-changing smile? Nominate a friend or family member and tell us why they should be chosen for this incredible opportunity.
  • Entries Open: 1st November 2025
  • Entries Close: 23rd November 2025
  • Finalist Voting: The Pure Dental Health team will select six finalists, which will then be put to a public vote to determine the winners.
  • Winners Announced: 22nd December 2025
  • Treatment Begins: January 2026